股骨头坏死是什么?
股骨头出现坏死情况,这也叫做股骨头缺血性坏死,或者是股骨头无菌性坏死,它比较容易在中青年男性群体中发生,这是因为股骨头供血血管的血液循环存在障碍而引起的,它主要被分成创伤性股骨头坏死以及非创伤性股骨头坏死这两大类别,其病因以及发病机制很复杂。
创伤性股骨头坏死
这种股骨头坏死叫创伤性股骨头坏死,它是因股骨头颈部骨折导致某些情况,它也是因髋关节脱位这类外伤因素致使股骨头供血动脉遭受损伤 。
非创伤性股骨头坏死
长期使用糖皮质激素,酗酒,系统性红斑狼疮,减压病,血液系统疾病,放射线接触,妊娠,艾滋病等等,这些是构成非创伤性股骨头坏死的因素,上述危险因素借由不同途径对股骨头血供产生影响,致使股骨头骨质因缺血进而坏死。
近年来,因广大群众对激素造成的股骨头坏死予以重视,其在股骨头坏死影响因素里呈现逐年下降的态势,而酗酒引发的股骨头坏死渐渐被众人所重视。资料表明,每周酒精摄入量处于400至1000ml的人,发生股骨头坏死的风险提升9.8倍,大于1000ml的人风险增加至17.9倍。
怎么判断
是不是股骨头坏死?
早期股骨头坏死,髋关节部会疼痛,前侧会放射至大腿内侧,一直到膝关节部;后侧会放射至后臀部。开始行走时疼痛明显,严重的话会影响行走及关节活动功能。疼痛程度与股骨头骨质坏死程度并非正相关。股骨头坏死诊断主要依靠影像学检查,这包括X线片、CT、MR检查,其中,X线片主要观察关节结构及骨质变化,CT能精准观察骨质变化,MR主要观察坏死区域及骨髓腔、周围软组织肿胀情况。因三者观察角度存在差异,所以各有优缺点,其三者相互结合方可针对股骨头坏死的病情给出准确判断,依据影像特点,通常会把股骨头坏死的病程划分成四期,其中1期属于早期,X线片以及CT观察不清晰,主要借助MR来进行诊断;至于4期则为期,
得了股骨头坏死怎么治疗?
股骨头坏死属于疑难病症,当下还不存在能将其彻底根治的方案,股骨头坏死最终的治疗办法都是髋关节置换术,然而人工关节的使用时长仅仅只有15至20年,非创伤性股骨头坏死的好发群体是年龄在20到50岁之间的中青年,一期关节置换手术后常常需要再次进行关节翻修术,这给医患双方都带来了极大的压力,所以对于股骨头坏死患者,特别是中青年患者而言,减轻疼痛、尽可能地保留关节功能、延缓甚至避开关节置换有着重要的临床意义以及社会价值。
现阶段,股骨头坏死早期所涉及的保髋行动涵盖保守疗法以及手术疗法,保守疗法含有限制负重、药物医治、体外震波疗法、高压氧疗法等,手术疗法包含髓芯钻孔减压以及基于此展开的钽棒植入、植骨、骨髓间充质干细胞移植、截骨术、介入局部动脉药物灌注等,只进行髓芯减压针对早期坏死改善病情进展的成功率大概为80% 。
介入为主的
中西医结合综合治疗
经由皮肤穿刺技术,介入治疗得以开展,借助导管寻觅到股骨头供血动脉血管,以加压的形式灌注解痉、溶栓、活血化瘀等药物,达成改善股骨头血液循环的目标。缘于血液循环的改善,坏死的股骨头能够推动股骨头内坏死病灶的修复,有利于延缓或者避免病情的进一步发展,在延缓或避免病情进展方面具备积极作用。介入治疗主要适用于处于1期的患者 ,适用于处于2期的患者 ,也适用于处于3期的患者 。
徐州市中医院介入科施行这样一种方案,该方案是以介入为主、中西医结合综合治疗,具体是先行介入手术,在股骨头供血得到改善之后,再应用扩血管、抗凝等药物,以此进一步对股骨头供血加以改善,与此同时,辅以消肿镇痛药物外敷以及理疗,从而促进股骨头周围软组织肿胀的缓解,然后再内服针对不同证型的中药方剂。目前,已成功治疗300余例患者,近期疼痛等症状缓解率达到92%,远期效果有资料记载的已达16年。
总之,介入治疗股骨头坏死存在主要目标,这个目标是,在能有效消除患者疼痛的情况下,在可恢复患者正常生活的情形下,尽可能保留关节功能,尽可能延缓关节置换手术,甚至尽可能避免关节置换手术,进行保髋治疗 。
典型病例介绍
病例1
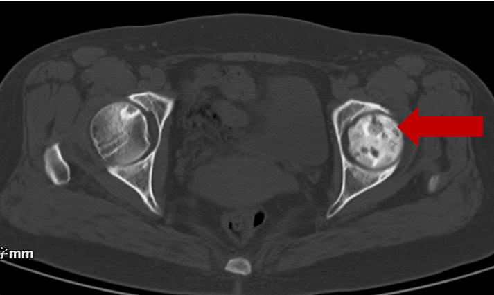
杜女士,年龄47岁,在2020年7月29日,因为“左下肢出现酸痛不适已有7天”这种情况,以“拟诊腰椎间盘突出”的状态来到我们医院,经过CT、MR等一系列检查之下,最终明确诊断为“左股骨头缺血性坏死”,属于二期病变。
2020年8月6日CT:左股骨头囊样坏死区
在2020年8月7日的时候,进行了一次介入手术,以及相关中医药综合治疗,在2020年10月12日,又进行了第二次介入手术,还有相关中医药综合治疗,之后,左下肢酸痛不适的情况消失了,患者恢复了正常生活。
2020年8月7日介入手术,探查左股骨头供血动脉
介入手术中
2022年7月11日CT:
左股骨头坏死区缩小,
周围骨质明显生长、修复。
2022年7月进行复查展示,曾经的股骨头坏死的区域显著地变狭小,囊肿变化趋向减小;处于关节处含有液体、骨髓出现水肿的情况极大程度地减轻。现如今没显著特有的不舒服,能够正常地生活。
病例2
周先生此人,年龄为52岁,在2008年12月的时候,被明确诊断成了“右侧股骨头缺血性坏死”,属于二期病变,外院给出了“人工关节置换术”的建议,然而患者拒绝了。在2008 - 12 - 12这一天,首次于我院进行介入手术治疗,之后又间断进行介入手术治疗9次,末次复查时间是2021 - 05 - 20日,显示右侧股骨头坏死达到三期,左侧股骨头是正常的。在2024年3月,对周先生进行电话随访,他自述病程已经超过15年,除了介入治疗之外,并没有进行关节置换手术。如今,他身体不存在特别的不舒服状况,极为感激徐州市中医院介入科的高超诊疗技艺,致使他重新获得健康,得以正常地生活 。
2008年10月21日CT显示:
右股骨头坏死二期
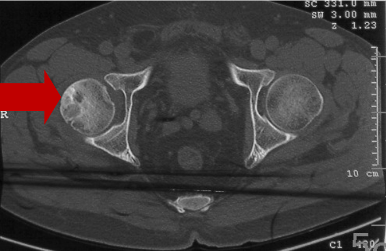
2021年05月20日末次复查CT显示:
右股骨头坏死三期,左股骨头正常
专家介绍
尹文州
主任医师 教授
介入科科主任
徐州医学会介入放射学专业委员会里的副主任委员,江苏省医学会介入医学分会中非血管介入学组的成员 。
在外周血管方面比较擅长,在肿瘤及综合介入方面也比较擅长,在神经血管介入方面同样比较擅长。获得了徐州市医学新技术引进奖二等奖一项,还获得了徐州市医学新技术引进奖三等奖一项。
监制|范从海
总编|殷海涛
副总编|陈勇 王琰 梁田 季培琛
审核|许牡丹
供稿|尹文州




